20 North Bridge Street, Hawick, Scottish Borders, TD9 9QW
Smile Gallery
Onlay
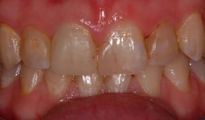
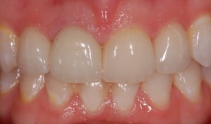
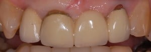
Then

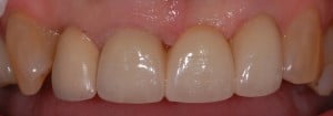
Now

Heavily filled front teeth and temporary Crown, replaced with new anterior Crown
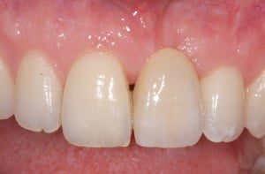
Then

Now

Then

Now

Adhesive Bridge
Then

Now

Old Bridgework replaced
Then

Now

Old Amalgam Filling, replaced with new white Composite Filling
Then

Now

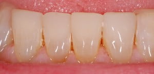
Worn lower front teeth, restored with Composite Bonding
Then

Now






















